For localized information and support, would you like to switch to your country-specific website for {0}?
Article
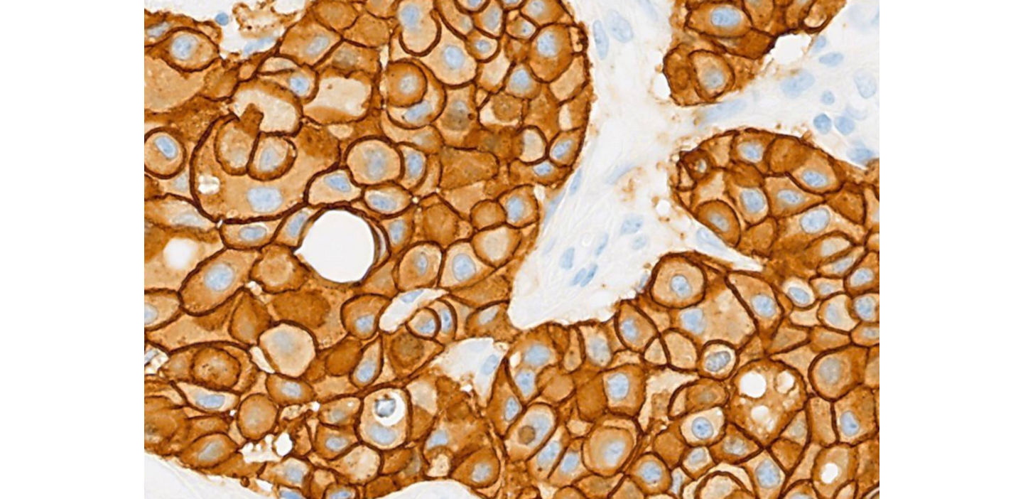
Five reasons why our HER2 (4B5) assay continues to be the trusted diagnostic assay of choice
Our mission compels us to make even our best tools better.
Roche’s portfolio of immunohistochemistry (IHC) and in situ hybridization (ISH) breast cancer diagnostic assays provide high sensitivity, specificity and consistency. We continue to innovate to broaden clinical utility of these assays to include new indications – and support clinicians in making decisions that lead to better care for more patients.
Here are five reasons why the Roche HER2 (4B5) assay1 remains the trusted IHC predictive assay of choice for laboratories and clinicians alike.
1. Globally proven to deliver optimal performance
- HER2 (4B5) antibody2 has shown the most consistent performance when compared to other on-market HER2 clones3
- Achieve consistently high proficiency assessment scores with HER2 (4B5) antibody, compared to other clones3


2. Widely available
- Registered and commercialized in more than 100 countries
- The Roche HER2 (4B5) assay runs on Benchmark IHC/ISH instruments, one of the largest installed bases of IHC/ISH staining platforms globally
- Partnership with Roche connects you with an established global network with expert local support capabilities
3. Broad and expanding line of therapeutic indications
- US FDA approved to identify breast cancer patients who may be eligible for Herceptin® (trastuzumab), KADCYLA® (ado-trastuzumab emtansine) and now ENHERTU® (trastuzumab deruxtecan)4
- CE IVDR approved to identify breast cancer patients who may be eligible for Herceptin (trastuzumab), KADCYLA (ado-trastuzumab emtansine), PERJETA® (pertuzumab) and now ENHERTU (trastuzumab deruxtecan)5
- US FDA and CE IVDR approved to identify biliary tract cancer patients who may be eligible for ZIIHERA® (zanidatamab)4,5
- Approved in ex-US markets to identify gastric cancer patients who may be eligible for Herceptin (trastuzumab)5
- Ongoing collaborations to expand the Roche HER2 (4B5) assay to aid in identifying patients with other cancer types who may be eligible for targeted therapy


4. Digital algorithm assisted
- uPath HER2 (4B5) image analysis breast algorithm is validated for use with the VENTANA® anti-HER2/neu (4B5) Rabbit Monoclonal Primary Antibody and CE marked for use as an aid in the assessment of breast cancer patients for whom Herceptin (trastuzumab), KADCYLA (ado-trastuzumab emtansine) or PERJETA (pertuzumab) treatments are being considered6
- Pathologist trained artificial intelligence algorithm allows for quick analysis and provides objective and reproducible results to support confident decision-making6
- Whole slide analysis (WSA) with automated pre-computing of the entired slide image prior to pathologist assessment provides fast results for user-defined regions of interest (ROI)6
5. Fully automated on BenchMark IHC/ISH platforms
- Automated workflow requires minimal hands-on time for high-quality staining
- Automation increases efficiency and productivity, allowing laboratory staff to focus on other value-added tasks
- Ready-to-use, ensuring accurate, repeatable results with no calculations, dilutions, or pipetting4
- Fewer touch-points reduce the potential for human error while increasing safety, due to limited exposure to chemicals4

Talk to your Roche representative for more information.
References
- Refers to PATHWAY® anti-HER2/neu (4B5) Rabbit Monoclonal Primary Antibody, VENTANA anti-HER2/neu (4B5) Rabbit Monoclonal Primary Antibody and VENTANA HER2 (4B5) Rabbit Monoclonal Primary Antibody RxDx products.
- The widely adopted HER2 IHC primary antibody.
- NordiQC Assessments.https://www.nordiqc.org/epitope.php; accessed July 2025.
- PATHWAY anti-HER2/neu (4B5) Rabbit Monoclonal Primary Antibody Package Insert, US FDA (14427US Rev L), 2024.
- VENTANA HER2 (4B5) Rabbit Monoclonal Primary Antibody RxDx Package Insert, CE IVD (1021867EN Rev D), 2025.
- Roche Diagnostics HER2 (4B5) breast cancer algorithm by navify® Digital Pathology. https://diagnostics.roche.com/us/en/products/digital/upath-her2-4b5-image-analysis-breast-pid00000378.html; accessed September 2025.